John Redmond Orthodontics
About Us
Orthodontics in
San Clemente
Dr. M. John Redmond graduated from University of the Pacific School of Dentistry with honors after attending San Diego State University. He subsequently completed a Master of Science degree in Craniofacial Biology and a Certificate in Orthodontics from the University of Southern California. Dr. John completed his master’s thesis on digital orthodontics and treatment predictions.
As an active member of the orthodontic community, Dr. John is affiliated with several professional associations.
Services
Our Services
01.
Invisalign & Invisalign Teen
With Invisalign and Invisalign Teen, you can get the straight teeth you’ve always wanted without dealing with braces. Dr. John Redmond has earned “Premier” provider status with Invisalign, which means he has an exceptional amount of expertise and experience.
02.
Faster Treatment with AcceleDent
AcceleDent is an innovative treatment that we offer to our patients to lessen the amount of time they have to undergo orthodontic treatment. This technology uses short, daily vibrating sessions to significantly speed up the process of correcting the patient’s teeth. This treatment poses no dangers to the patient and can actually make the experience of having braces more comfortable.
03.
iTero™ Digital Impression System
No more messy and uncomfortable methods for obtaining impressions! With an iTero™ scanner, Dr. John Redmond takes an impressively detailed impression using digital technology. This new technology totally removes the putty and tray method for impressions, making the experience simple and stress-free.
04.
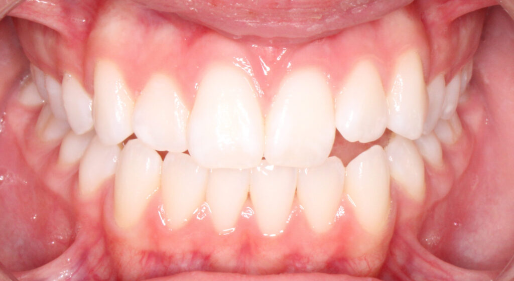
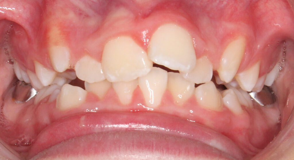
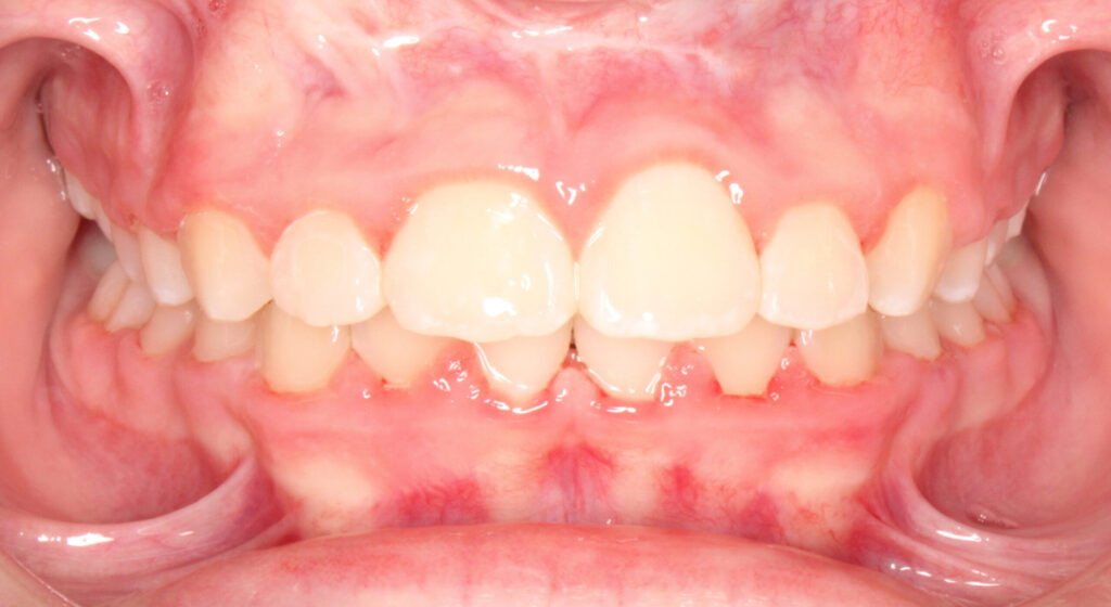
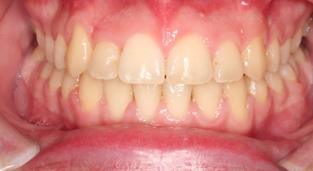
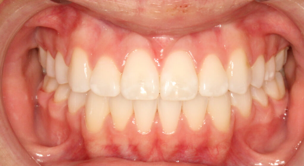
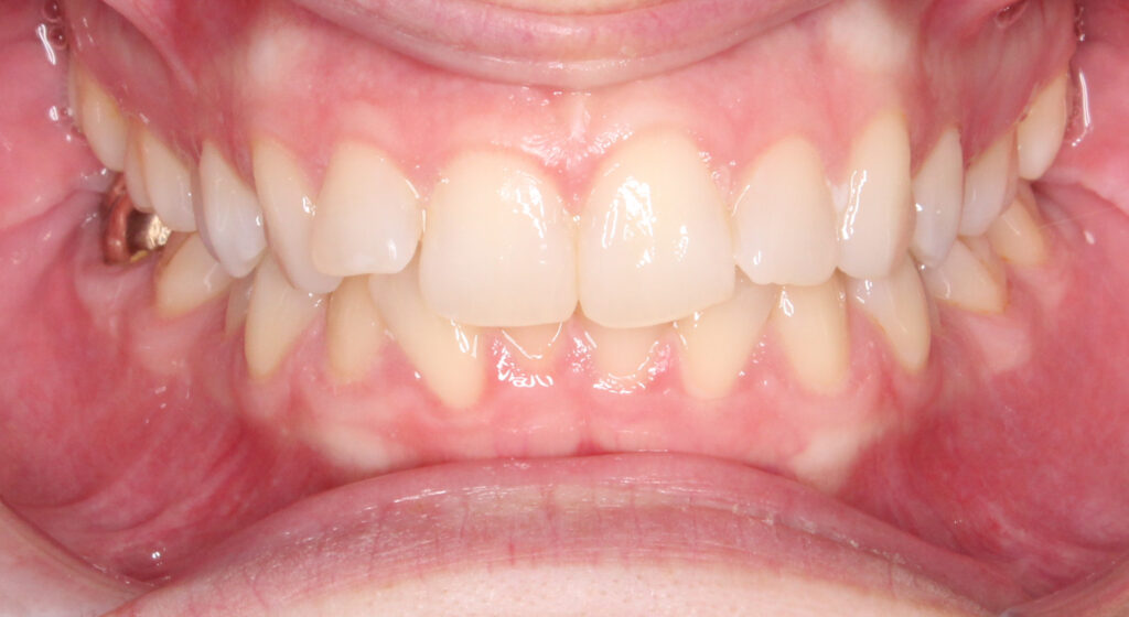
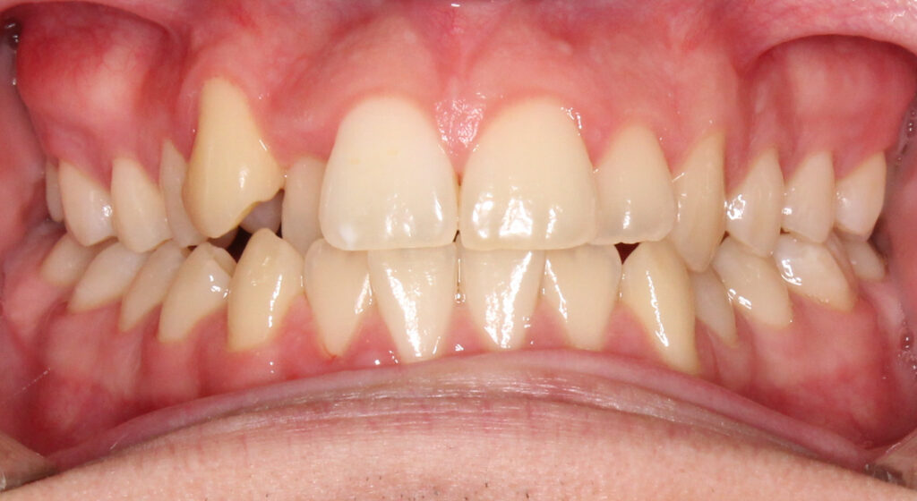
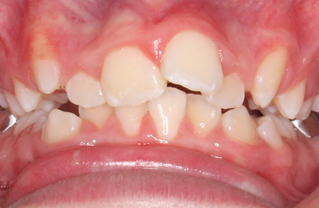
Orthodontic Treatment: Braces
Teeth that are misaligned or crooked often makes people self conscious about their appearance. Starting early can give your child the lifetime benefits of a healthy smile. When we see our patients transform into mature, confident young adults it is among our greatest rewards.
Testimonials
See Our Reviews On
Client Review
“So glad this John Redmond was recommended to us for our two teenagers braces. Super friendly staff, clean office, great prices, and great with military families. We’ve been coming here for almost two years and only good experiences! My kids love the extra touch of a homemade cookie as they leave.”
Nagasiva Kumar
